preventative Pet dental care in the mid north coast
offering comprehensive dentistry
At Barrington Coast Vets on the Mid North Coast, we offer comprehensive pet dental care services designed to support teeth and gum health. Our services include routine teeth cleanings, thorough dental check-ups and treatments for conditions like gum disease and tooth decay, which are especially beneficial for older pets or breeds prone to dental issues.
Regular dental care can help reduce the risk of painful infections, bad breath and other health concerns that arise from poor oral hygiene. By addressing dental issues early, pets can enjoy greater comfort and better long-term health.
Our team is here to discuss any questions or concerns about your pet’s dental care, offering consultation times to talk through the best options. We strive to create a comfortable and supportive environment, making each visit as smooth as possible for pets and their owners.
Pet dental care is one of the many services we provide, along with preventive health care, surgeries and nutritional guidance. To learn more about pet dental care or to schedule an appointment, please contact Barrington Coast Vets on (02) 6559 2277.
equine dental care
Veterinary Oral Health Examinations for Horses
Veterinary evaluation of equine oral health plays a critical role in diagnosing and managing conditions that affect a horse’s comfort, performance, and overall health.
Because horses’ teeth erupt continuously throughout their lives, they are prone to developing dental abnormalities such as uneven occlusal wear, sharp enamel points, hooks, ramps, and wave mouth. Without appropriate management, these conditions can lead to oral pain, quidding (dropping food), weight loss, and behavioral changes.
Comprehensive oral examinations, often performed with sedation and the aid of a full-mouth speculum and lighted oral endoscopy, enable veterinarians to assess the entire oral cavity, including the teeth, gingiva, tongue, and mucosa. These evaluations allow for the early detection of periodontal disease, a common and potentially severe condition characterized by gingival inflammation, periodontal pocketing, and loss of attachment, which can lead to tooth mobility or loss if left untreated.
Therapeutic interventions may include odontoplasty, a precise reshaping of dental structures to correct occlusal imbalances, as well as targeted cleaning or debridement of affected periodontal sites. In advanced cases, additional procedures such as extractions or antibiotic therapy may be indicated.
Routine professional dental examinations and treatment by a licensed veterinarian are essential in maintaining oral function, preventing systemic health complications, and supporting the long-term welfare of the horse.
scale & polish
A scale and polish is a common dental procedure that helps maintain pet oral health by removing plaque and tartar buildup.
Plaque accumulates naturally and, if not removed, hardens into tartar, which can lead to gum disease, tooth decay and bad breath. During a scale and polish, the vet carefully scales away tartar from teeth surfaces and along the gumline, followed by polishing to smooth the teeth, making it harder for plaque to reattach.
This process can not only improve oral hygiene but also reduce the risk of painful infections and other dental problems, supporting a pet’s overall health and comfort.
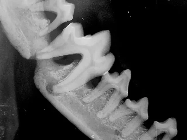
pet dental x-Rays
Pet dental X-rays are an important diagnostic tool that allow veterinarians to assess the health of teeth and surrounding structures beneath the gumline when required.
Many dental problems, such as tooth root infections, fractures, and bone loss, are not visible during a standard oral examination. In cases where there is concern about underlying disease, dental X-rays can provide detailed images of each tooth’s root and surrounding bone, helping to identify issues that cannot be seen on the surface.
By detecting problems beneath the gumline, dental X-rays assist veterinarians in making informed decisions regarding extractions, treatment options, or ongoing dental care.
Dental X-rays are not routinely performed for every dental procedure and are recommended on a case-by-case basis where they will add clinical value. When advised, they help ensure underlying issues are properly identified and managed, supporting your pet’s long-term oral health.
damaged or infected tooth Extractions
Dental extractions are sometimes necessary to protect a pet’s overall health and help relieve pain caused by damaged or infected teeth.
Common reasons for extraction include severe tooth decay, fractures or advanced periodontal disease, which can lead to discomfort, infections and difficulty eating. The procedure involves removing the affected tooth under anaesthesia, aiming to reduce the risk of further infection or complications.
After extraction, pets usually experience relief, and their gums can heal quickly with proper care. Veterinary guidance on post-extraction care, such as soft foods and monitoring, helps ensure a smooth recovery.
Extractions support long-term oral health and overall wellbeing for pets.







